Cosmetic Dentistry
The biggest driver of the growth of metal-free dentistry is that it’s just more attractive. As people have become more conscious of the appearance of their smile, dentistry has to keep providing options that allow people to get that attractive smile they desire, even if they are in need of fillings, dental crowns, or other restorations.
And cosmetic dentistry is a self-feeding phenomenon. We gauge the appearance of our smile against those around us. As more people get cosmetic dentistry, replacing metal amalgam fillings or gold crowns with more attractive ceramic restorations, our sense of what makes a smile attractive shifts. Where people just a few years ago might have thought that metal fillings were normal, today most look at this as an unacceptable alternative. You don’t want to be the only one with visible fillings if you can help it.
Technology
We can’t neglect the role of technology in this trend. It wouldn’t matter that people wanted more attractive restorations if we didn’t have the technology to deliver them. But now we do, because materials and our understanding of the bite have both improved.
Dental ceramics have improved tremendously in recent years. Where in the past, porcelain veneers were made using a 2000-year-old formula for pottery, modern veneers can be made using state-of-the-art materials that are highly durable as well as very attractive. These materials are many times stronger than natural tooth structures, so they can stand up to any environment that your teeth can stand.
But what about bite forces that are too much for your teeth, anyway? That’s where our improved understanding of the bite comes in. We can make restorations stronger, but sometimes the best approach is to actually soften the force restorations have to bear. Neuromuscular dentistry lets us do that by balancing your bite so none of your teeth or restorations experience excessive force. And we can check the force on each tooth with our T-Scan digital bite measurement.
Health
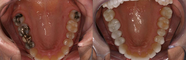
We didn’t used to be as concerned about the materials in our restorations as we are today. In the past, people lived in an environment where heavy metals and toxins were routinely encountered. The damage and sickness caused by metal dentistry was lost in this highly toxic environment.
But as we’ve cleared up our environment, metal amalgam fillings remain an area where people are exposed to relatively high levels of mercury. More people are noticing the problems that are related to their fillings, and they can easily pinpoint the cause so they can get it treated. Increasingly, people are not only asking that their new fillings be metal-free, they’re asking that their old metal fillings be removed.
We’ve also learned more about the interactions between different types of metal restorations, the galvanic circuits that develop among these restorations. This creates unpleasant-feeling sensations, metallic taste, damage to restorations, and inflammation in your mouth.
Price
It’s no secret that gold prices are all over the map, and they tend to go up every time someone comes up with a new conspiracy theory. This makes gold fillings an unattractive option for more reasons than just their appearance.
And at the same time, technology has helped drop the price of the ceramic alternatives. If you can get a natural-looking restoration for the same price or less than you can get one of gold, then that’s what you’re going to choose.
And while the future of gold prices is uncertain, we know what the future holds for metal-free dentistry: a continued drop in prices.
Are You Ready for Metal-Free Dentistry?
If you’ve grown tired of your old metal restorations, now is a great time to remove them and replace them with ceramic restorations.
If you are looking for a metal-free dental practice in the Hilton Head area, please call (843) 706-2999 today for an appointment with a cosmetic dentist at Beyond Exceptional Dentistry.

