If you have lost one or more teeth, you can get replacements that look as good as natural teeth, function as well as natural teeth, and last 20 years! Dental implants have been in use since the 1980s, and with new technologies and improved techniques, they have become better than ever. You can eat all the foods you enjoyed with your natural teeth, take no special care of your teeth, and enjoy a smile where no one can tell you’ve lost teeth.
To learn more about dental implants and find out if they are right for you, please call (843) 706-2999 or email Beyond Exceptional Dentistry to schedule an appointment at our Hilton Head area office in Bluffton, SC.
Benefits of Dental Implants
Dental implants are an alternative to dentures. They are the tooth replacement option that functions most like your natural teeth because they are structured like your natural tooth. They have a root whose job is to bind your tooth to the jaw, and a crown that is attractive and sturdy for chewing.
The benefits this gives are amazing:
- No diet restrictions: you can eat a crisp apple, bite a steak, or even eat corn on the cob
- No special care required: just brush and floss normally
- Look like natural teeth
- They support themselves–they don’t depend on other teeth for support
- Stimulate your jawbone to keep it healthy and sturdy
- Can be lifetime replacements with proper care
Dental implants let you enjoy life with confidence. You don’t have to worry your teeth will sleep out, make noise, or look fake.
Now mini dental implants can even be used to help people who were told they couldn’t have implants just a few short years ago.
And recent studies suggest that they can last a very long time, maybe a lifetime. One study showed a 92% survival rate for dental implants at an average of 18 ½ years!
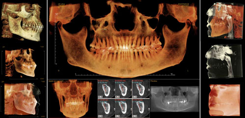
CT Dental Scan Makes Dental Implants Even Better
CT Dental Scan gives us the power to make your dental implant procedure even better. By creating a 3D computer image of your bone structure, CT Dental Scan lets us plan your dental implant surgery precisely before the procedure begins. It’s as if the first part of your surgery is performed on the computer not in your mouth!
Benefits of CT Dental Scan:
- Dental implant procedure can be completed more quickly
- Dental implants can be placed more precisely
- Risk of complications is reduced
- Small incisions can be used with no need for stitches
- Faster healing
- Less discomfort
By taking the place of exploratory dental surgery, CT Dental Scan takes the guesswork out of dental implant surgery, without the need for exploratory cutting. Your dental implant procedure can be done right the first time.
Mini-Dental Implants
Mini-Implants are a GREAT solution for a loose lower or upper denture. They are only a fraction of the size of a traditional implant. This means that they can be used on people who never could have traditional implants.Mini-Implants can be used to stabilize a lower or upper denture. Patients love how much better they can talk, chew, laugh… you name it.
It only takes one appointment to get your Mini-Implants. That’s right, after your consultation and exam it only takes one appointment. You are numbed using The Wand so that you don’t feel any pain. The implants are gently placed, without stitches. Then your existing denture is “retro-fitted” to attach to the new implants. When you leave the office, you will have a much better fitting denture!
To learn more about dental implants and how they can help you, please call (843) 706-2999 or contact Beyond Exceptional Dentistry in the Hilton Head area today to schedule your appointment.

