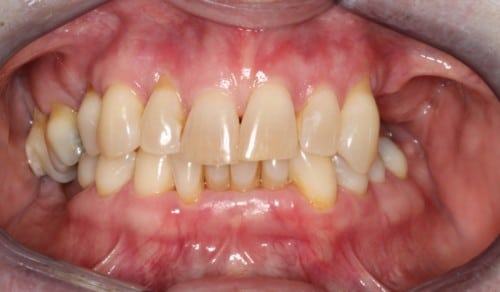
She came in with her existing teeth in horrible shape, she was unhappy with her health and the smile that her teeth gave her.
Dr. Strickland removed all her remaining teeth and gave her new upper and lower FOY® dentures that snap into implants. She loves her new smile and can eat whatever she wants
To learn more about her journey at Beyond Exceptional Dentistry, watch below.
She came in with her existing teeth in horrible shape, she was unhappy with her health and the smile that her teeth gave her.
Dr. Strickland removed all her remaining teeth and gave her new upper and lower FOY® dentures that snap into implants. She loves her new smile and can eat whatever she wants
To learn more about her journey at Beyond Exceptional Dentistry, watch below.
 
			
											
				 
					








 
							 
							