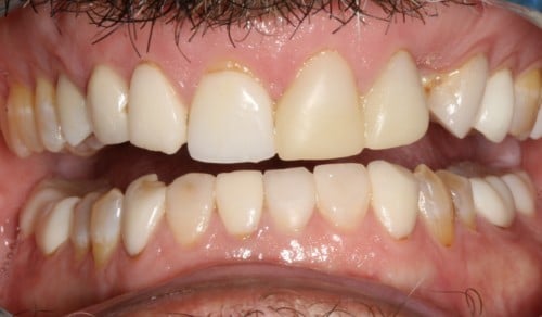
Frank came to Beyond Exceptional Dentistry because he wanted the best smile, face, and the longevity of neuromuscular full mouth reconstruction.
He was tired of teeth falling apart and wanted to have better sinus and overall health. Correcting his bite gave him the ability to sleep better, resulting in a healthier Frank. He loves his new smile!
Frank came to Beyond Exceptional Dentistry because he wanted the best smile, face, and the longevity of neuromuscular full mouth reconstruction.
He was tired of teeth falling apart and wanted to have better sinus and overall health. Correcting his bite gave him the ability to sleep better, resulting in a healthier Frank. He loves his new smile!



